Embora o câncer de pulmão seja bastante conhecido por acometer pessoas com maus hábitos de saúde como fumar, ele é um dos tipos mais comuns e graves de câncer, mesmo em quem não fuma.
Para se ter uma ideia, de acordo com o Instituto Nacional do Câncer (INCA), o número de novos casos diagnosticados no Brasil deve ultrapassar o número de 30 mil por ano.
Mesmo que o número de fumantes tenha sido reduzido drasticamente nas últimas três décadas, os números de diagnósticos e fatalidade desse tipo de câncer ainda devem ser vistos com preocupação.
Sobretudo porque atualmente, muitos jovens estão experimentando outras modalidades de fumo – caso dos “vapes”, cigarros eletrônicos e narguiles.
Os vários tipos de tabagismo são capazes de trazer riscos tanto para o fumante, quanto para as pessoas que convivem com ele, por meio do fumo passivo.
Nesse artigo, nós do Portal Cannabis & Saúde preparamos um texto com os principais tópicos sobre o câncer de pulmão como:
- O que é o câncer de pulmão?
- Como começa o câncer de pulmão?
- Quais são os sintomas do câncer de pulmão?
- Quais são os tipos de câncer de pulmão?
- Quantos estágios o câncer de pulmão tem?
- Causas do câncer no pulmão
- Quais são as chances de cura do câncer de pulmão?
- Diagnóstico: como saber se estou com problemas no pulmão?
- Tratamentos para câncer de pulmão com canabidiol: como funciona?
- Casos de sucesso de pessoas que venceram o câncer de pulmão
- Dia mundial de combate ao câncer de pulmão
Continue lendo para saber mais!
O que é o câncer de pulmão?

O câncer de pulmão é um tipo de câncer que se inicia em qualquer parte das estruturas pulmonares.
De acordo com o NHS, serviço de saúde do Reino Unido, o câncer de pulmão é um dos que mais matam no mundo e nem sempre os sintomas e sinais dessa doença aparecem logo em seu início.
No entanto, quando há a manifestação de sintomas, estas podem incluir a dificuldade para falar, cansaço excessivo e tosses.
Entre os fatores de risco contribuintes para a doença estão o tabagismo, maus hábitos alimentares e o sedentarismo.
Além disso, trabalhos que envolvam a inalação de substâncias como o monóxido de carbono em excesso também podem aumentar o risco do desenvolvimento do câncer de pulmão.
Mutações genéticas também podem contribuir para que o câncer de pulmão acometa uma pessoa, embora esse caso seja menos comum do que o dos fumantes.
Casos de câncer de pulmão no Brasil
No Brasil, de acordo com o Instituto Nacional do Câncer (INCA), pelo menos 30 mil casos de câncer de pulmão foram diagnosticados em 2022.
Nesse mesmo levantamento, o instituto aponta que o câncer de pulmão aparece de forma mais prevalente em homens do que em mulheres (uma relação de aproximadamente 60-40%).
No mundo, esse é o tipo de câncer mais mortal, sobretudo porque seu diagnóstico costuma ser feito quando a doença atinge o estágio avançado.
Porém, quando o paciente recebe o diagnóstico (e tratamento) ainda nas fases iniciais da doença, as chances de cura são bem maiores.
Como começa o câncer de pulmão?
Todo câncer ocorre por conta da divisão celular de células defeituosas. Apesar do processo de divisão celular ser algo natural e necessário para a vida humana, alterações no DNA da célula podem fazer com que células defeituosas se dividam e cresçam.
Quando isso ocorre na região do pulmão, dá-se o nome de câncer de pulmão. No entanto, caso os tumores não sejam visualizados ou diagnosticados em seu estágio inicial, a doença já pode se espalhar para outros órgãos.
Assim, o tratamento por meio da cirurgia de remoção do tumor nem sempre é eficaz. Outras estratégias de tratamento podem ser tomadas de forma a mitigar os estragos causados pelo câncer no corpo da pessoa.
Quais são os sintomas do câncer de pulmão?

Os sintomas do câncer de pulmão não são normalmente verificados em pacientes nos estágios iniciais da doença.
Por isso, é importante que qualquer pessoa (sobretudo aquelas que fazem parte dos grupos de risco) façam acompanhamentos e monitoramentos periódicos sobre as suas condições de saúde.
Isso permite uma descoberta precoce do câncer, trazendo perspectivas melhores para a cura e o uso de tratamentos menos agressivos.
No entanto, quando a doença já está em estágios mais avançados, sintomas mais graves podem aparecer como:
- Perda de peso sem motivo aparente;
- Tosse crônica;
- Expectoração de sangue ou muco com sangue misturado (hemoptise);
- Rouquidão e dificuldade para falar;
- Perda de apetite;
- Fadiga constante;
- Falta de Ar;
- Infecções respiratórias frequentes;
- Dores na região do peito ou da costela;
- Inchaço dos gânglios;
- entre outros.
Caso você sinta qualquer um dos sintomas descritos acima, é importante buscar auxílio médico. Em caso de desconfiança sobre a possibilidade de você estar com câncer, exames adicionais serão sugeridos pelo profissional.
Quais são as complicações do câncer de pulmão?
Como já demonstramos ao longo deste artigo, o câncer de pulmão é um dos que mais matam no mundo.
No entanto, além da mortalidade, o câncer de pulmão pode trazer outras consequências para a vida de quem enfrenta ou se curou da doença. Exemplos disso estão descritos nos tópicos abaixo:
- Alteração na voz: pessoas que foram fumantes por muito tempo ou tiveram algum tipo de câncer no pulmão ou na traqueia costumam ter a voz mais rouca e dificuldade para falar.
- Dificuldade para respirar: o fôlego de uma pessoa que passou pelo câncer no pulmão costuma ser bem menor. Mesmo que a pessoa já tenha parado de fumar há anos, essa dificuldade pode continuar.
- Problemas para dormir: devido às dificuldades respiratórias, tanto a insônia quanto a apneia do sono se fazem presentes na vida de quem tem ou teve o câncer de pulmão.
Quais são os tipos de câncer de pulmão?

Há muitas formas de câncer de pulmão que podem ocorrer em diferentes lugares deste órgão. Existem os adenocarcinomas, carcinomas espinocelulares e o carcinoma de grandes células.
O adenocarcinoma é o mais comum e tende a ter um crescimento bem mais lento em comparação aos outros tipos de câncer de pulmão. É mais facilmente diagnosticado, pois os sintomas se manifestam de forma mais clara.
Por outro lado, os carcinomas espinocelulares e os de grandes células tendem a ter uma evolução mais rápida e revestirem tanto o interior das vias aéreas (espinocelulares) ou qualquer parte da estrutura pulmonar (de grandes células).
Há ainda outros tipos de câncer de pulmão menos comuns, que são os linfomas, sarcomas, adenóides císticos, por exemplo.
Quantos estágios o câncer de pulmão tem?
Como na maior parte dos diversos tipos de câncer, o câncer de pulmão tem 5 estágios. Esses estágios estão relacionados ao nível de evolução da doença, sendo o 0 o mais brando e o IV o mais avançado.
No estágio 0, a doença pode nem mesmo apresentar qualquer tipo de sintoma. Normalmente é detectado por exames de rotina e é a melhor hora para se diagnosticar qualquer tipo de câncer.
Neste momento não há nenhum tipo de proliferação da doença para outros órgãos ou estruturas adjacentes. Por outro lado, no estágio IV, o paciente tem chances reduzidas de cura, pois o câncer já se espalhou para outros órgãos, atingindo inclusive tecidos adjacentes.
Causas do câncer no pulmão

Não há dúvidas de que a principal causa para o câncer de pulmão é o tabagismo. De acordo com as estatísticas da Organização Mundial de Saúde (OMS), o tabagismo está associado a cerca de 90% dos casos de câncer no pulmão.
Além disso, outras causas podem estar associadas a esse tipo de câncer. Confira nos próximos tópicos os fatores de risco e possíveis predisposições:
O que aumenta o risco da doença?
Além do tabagismo, uma vida com hábitos não saudáveis como o sedentarismo e a má-alimentação são contribuintes para o surgimento de células cancerígenas no pulmão.
Outros fatores de risco são o histórico familiar e a exposição passiva ao fumo, sobretudo para pessoas que têm convívio prolongado com fumantes desde criança.
Quais são as chances de cura do câncer de pulmão?
A cura do câncer de pulmão depende principalmente de qual é o estágio em que o tumor foi diagnosticado e como ele se espalhou pelo corpo do paciente.
Quando diagnosticado nos estágios 0 e I, o câncer de pulmão pode ser curado por meio de cirurgias relativamente simples para remover o tumor.
Outros tratamentos podem ser utilizados de forma complementar, como a quimioterapia, radioterapia e imunoterapia.
Em estágios mais avançados, o paciente terá mais dificuldade para curar a doença.
De acordo com dados organizados pelo Instituto Oncoguia com registros do RHC (Registros Hospitalares de Câncer) e do Inca (Instituto Nacional do Câncer) a sobrevida de uma pessoa com câncer de pulmão se distribui da seguinte forma:
- Estágios iniciais: probabilidade de sobrevida após cinco anos de 36%;
- Estágio III e IV: probabilidade de sobrevida de 10 a 13% após cinco anos.
Diagnóstico: como saber se estou com problemas no pulmão?
A primeira parte do diagnóstico deve partir do próprio paciente. Ao notar que há algum tipo de tosse persistente, falta de fôlego, dores no peito ou sibilado ao falar/respirar, a pessoa deve procurar auxílio médico.
Nem todo caso de problema pulmonar está relacionado ao câncer. Por vezes, a exposição a determinados tipos de gases tóxicos (como os provenientes de indústrias) pode gerar problemas respiratórios.
Ao buscar ajuda médica, o paciente será questionado sobre quais são as suas queixas e, caso necessário, deverá solicitar exames complementares.
Qual o exame detecta esse tipo de câncer?

Há diversos exames que são capazes de detectar ou trazer indícios sobre a existência do câncer de pulmão em um paciente.
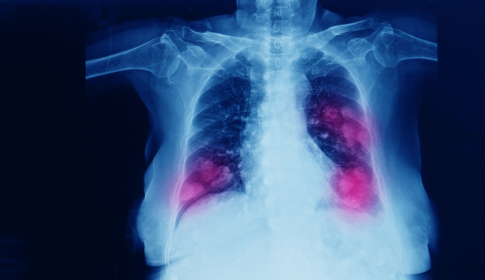
Os mais comuns são os exames de imagem como tomografias computadorizadas, que utilizam doses baixas de radiação. Esses exames são capazes de identificar lesões pulmonares que podem ser classificadas como tumores e câncer.
Eles também são chamados de exames de rastreamento, pois permitem identificar o câncer em estágios iniciais e que são curáveis.
Outros exames comuns para a identificação do câncer de pulmão são:
- Radiografia de Tórax;
- Ressonância Magnética;
- Tomografia por emissão de pósitrons;
- Cintilografia óssea.
A escolha do exame a ser adotado parte sempre do médico, de acordo com as queixas e o aparente nível de gravidade das queixas.
Alguns pacientes podem fazer um exame e receber resultados inconclusivos, fazendo com que exames adicionais sejam solicitados.
A Cannabis medicinal pode ser usada no tratamento para câncer de pulmão?

Sim. Além dos tratamentos convencionais como a quimioterapia, radioterapia e imunoterapia, utilizados para diversos tipos de câncer, existem algumas substâncias canabinoides que são capazes de complementar os tratamentos.
Embora não atue diretamente contra o câncer, os canabinoides são capazes de reduzir parte dos efeitos colaterais que os outros tratamentos costumam trazer aos pacientes.
Como são altamente invasivas, a quimioterapia e a radioterapia podem gerar condições adversas como náuseas, vômitos e dores crônicas durante o tratamento para o câncer.
Isso gera questões que vão muito além do físico, fazendo com que muitos pacientes passem a lidar com uma qualidade de vida reduzida e gerando uma certa rejeição ao tratamento.
Confira abaixo estudos que apontam os benefícios da Cannabis medicinal como ativo complementar no tratamento do câncer de pulmão.
Estudos sobre a utilização da Cannabis medicinal no tratamento do câncer de pulmão
Um estudo publicado na revista Cancer Research avaliou a possibilidade da utilização dos canabinoides como capazes de limitar a inflamação, a proliferação e a sobrevivência de células tumorais.
Para isso, foram revisados alguns trabalhos recentes de ensaios e pesquisas ao redor do mundo que relacionam diversos tipos de câncer com o uso dos canabinoides.
No que se refere ao câncer de pulmão, os autores apontam a necessidade de se buscar novas abordagens para o controle da doença e o desenvolvimento dos tumores.
Outro ponto importante deste estudo diz respeito aos benefícios úteis para a prevenção de náuseas, vômitos, dores e estímulo do apetite em pacientes oncológicos, dos diversos tipos de câncer.
Isso pode trazer um nível importante de vantagens na administração dos tratamentos canabinoides em associação com outros tipos de terapia convencional para o câncer, como a quimioterapia e a radioterapia.
Por outro lado, no estudo “Cannabidiol Induces Cell Death in Human Lung Cancer Cells and Cancer Stem Cells”, os cientistas encontraram evidências de que a Cannabis pode reduzir a viabilidade das células de câncer de pulmão aderentes e das células-tronco do câncer de pulmão.
No relatório de caso “Lung cancer patient who had declined conventional cancer treatment: could the self-administration of ‘CBD oil’ be contributing to the observed tumour regression?” há uma história interessante.
Um paciente com câncer de pulmão que havia recusado os tratamentos tradicionais teve seu tumor reduzido de tamanho progressivamente de 41 mm para 10 mm durante um período de 2,5 anos usando a Cannabis.
Embora estudos não confirmem que a Cannabis seja capaz de curar o câncer de pulmão, este caso nos revela um cenário encorajador. Portanto, novos estudos e ensaios precisam ser feitos, preferencialmente com seres humanos para avaliar o nível dessa potencialidade.
O que o paciente precisa fazer para ter acesso ao tratamento de câncer com Cannabis medicinal?

Para ter acesso aos medicamentos à base de Cannabis, é preciso que haja a prescrição deles por meio de um profissional de saúde legalmente habilitado para receitar o tratamento.
Isso está de acordo com a RDC 660 da ANVISA, que aponta os critérios e regulamenta a compra e importação de substâncias canabinoides por pessoa física.
Com relação ao câncer de pulmão, o profissional mais indicado para fazer isso é o oncologista, que pode avaliar as opções de tratamentos disponíveis e quais são os riscos e benefícios potenciais envolvidos nas terapias.
Alguns pacientes oncológicos podem precisar realizar mais de um tipo de tratamento ao mesmo tempo – quimioterapia, radioterapia e imunoterapia são alguns deles.
Essa associação pode trazer efeitos colaterais debilitantes, que são comprovadamente reduzidos com uso da Cannabis medicinal, como você viu anteriormente neste artigo.
Por isso, converse com o seu médico sobre esta possibilidade. Apesar dos estudos que apontam os benefícios deste tratamento, muitos médicos se mostram reticentes a prescrevê-lo, seja por questões de ordem moral ou desconhecimento.
Assim, o ideal é buscar profissionais que já tenham algum nível de conhecimento no que diz respeito ao tratamento à base de substâncias canabinoides.
Você pode procurá-los no Portal Cannabis & Saúde, de acordo com as suas necessidades. Através dos filtros, você pode escolher a especialidade, a cidade de atuação ou o convênio pelo qual você pretende ser atendido.
Relato da Dra. Milena Coelho sobre tratamento com Cannabis medicinal
A respeito do uso do CBD no tratamento do câncer, a médica oncologista do Portal Cannabis e Saúde, Dra. Milena Coelho, compartilhou sua experiência sobre o assunto em um artigo completo. Você pode acessar este artigo aqui para conferir o que ela tem a dizer!
A Dra. Milena é referência no combate à doença e, nos últimos anos, tem se dedicado a terapias com canabinoides.
Além deste artigo super informativo, ela também preparou uma live muito interessante sobre o uso da Cannabis em pacientes com câncer. Vale a pena conferir!
Qual estilo de vida deve-se adotar para evitar o câncer?
Uma das melhores formas para evitar qualquer tipo de câncer é por meio da adoção de um estilo de vida saudável. Nisso, inclui-se a realização de exercícios físicos de forma regular, além da alimentação saudável, com nutrientes e vitaminas distribuídos corretamente na dieta.
Veja abaixo um checklist de hábitos que você pode ter para que o câncer seja evitado:
- Fazer exercícios regularmente;
- Alimentar-se com os ingredientes corretos e nas proporções adequadas;
- Reduzir o consumo de bebidas alcoólicas;
- Não fumar.
Conclusão
Ao longo deste artigo, exploramos sobre os temas referentes ao câncer de pulmão. Como a principal causa para a doença é o tabagismo, a melhor prevenção para ela é exatamente evitar o fumo ou parar de fumar.
Embora seja um dos tipos de câncer que mais matam no mundo (e também um dos líderes em número de casos), o câncer pulmonar pode ser tratado e ter perspectivas para a cura, sobretudo quando detectado em suas fases iniciais.
Os tratamentos por meio de quimioterapia e radioterapia, por exemplo, são bastante usados por pacientes que estão nesse nível de estadiamento. Como os efeitos colaterais são bastante sentidos pelos pacientes, alguns tratamentos complementares podem auxiliar na redução deles.
Um desses tratamentos complementares é por meio da Cannabis medicinal, cujo uso vem sendo estudado nos últimos anos e apontado como benéfico, com baixo índice de efeitos colaterais.



























